
Inferior patellar dislocation: a rare complication of a high tibial osteotomy caused by patella infera
B. A. Nijsse1 C.J.M. van Loon1 1 Department of Orthopaedics, Rijnstate Hospital, Arnhem, The Netherlands
Corresponding author: B.A. Nijsse, bramnijsse@gmail.com
Inferior patellar dislocation is a rare finding. It is the situation when the superior part of the patella locks in the trochlear groove during flexion. We describe the presentation of this phenomenon in an adult patient after a high tibial osteotomy (HTO). We compare different types of biplanar HTO with either proximal or distal tuberosity osteotomy. We discuss the different types of inferior patellar dislocations, and we address the hypothetical causes of patella infera.
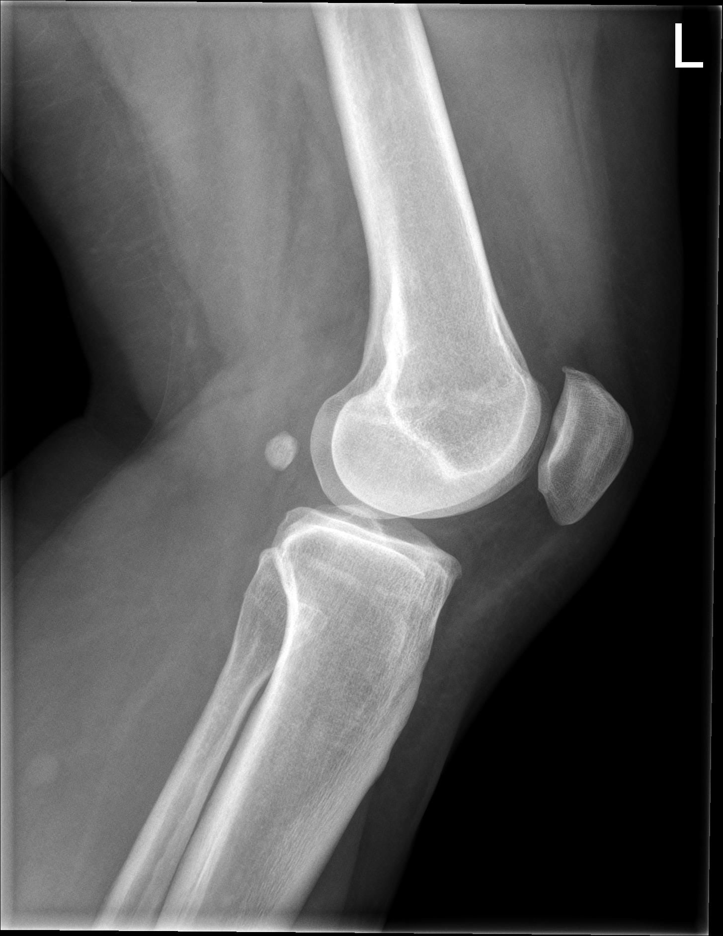
Patient A 53-year-old female patient presented at the emergency department with a locked left knee. The locking occurred whilst sitting in a chair in a flexed knee position. She was unable to unlock her knee due to the pain. On examination the knee was swollen and locked in a 70° flexion angle. An X-ray of the knee showed an inferior patellar dislocation without fractures (figure 1). Six years earlier she was treated with a medial open wedge HTO (OWHTO) with a proximal tuberosity osteotomy with a locked plate for valgus correction of medial compartment osteoarthritis. During surgery a planned 9° correction was performed. Insall-Salvati ratio (ISR) pre-operatively was 0.89. Directly after surgery ISR was 0.83 (figure 2, figure 3). Her postoperative course was uneventful, and the final results were excellent until her recent presentation.
Intervention After administrating analgesics, a reduction was performed by hyperflexing the knee, unlocking the superior patellar osteophyte from the trochlear groove (figure 4.) After two weeks of weight bearing in an extension splint, the patient was advised to resume normal activities. After reduction of the patellar dislocation the X-ray showed an ISR of 0.74. The X-ray also showed a suprapatellar osteophyte.
Comparison Guidelines are lacking, concerning which surgical technique to use for HTO. The latest Cochrane update in 2014 concluded that there is no evidence for selecting a most favourable osteotomy technique.1 Currently, the preferred technique is the medial OWHTO popularised by Lobenhofer in 2003.2,3 The main disadvantage of OWHTO is a change in patellar height.4 Patella infera is a common result after OWHTO with a proximal tuberosity osteotomy (figure 5). Otsuki et al stated that for every 1° correction the Caton-Deschamps index is decreased by 1.7%.5 This unfavourable outcome of OWHTO is well recognised in literature.6 To prevent patella infera Gaasbeek et al. introduced a novel technique of a biplanar osteotomy leaving the tibial tubercle attached to the proximal segment; the distal tuberosity osteotomy in OWHTO7 (figure 6). It resulted in an unchanged patellar height postoperatively.
Outcome At five months follow-up the patient did not have a new inferior patellar dislocation. She was back to her previous level of activities. The insecurities and concerns following the dislocation were diminishing. Relevant literature Inferior patellar dislocation is a rare finding only described in case reports. Two types can be found.8 The first, mostly in adolescent males, occurs after a direct blow to the flexed knee, which forces the superior pole of the patella into the notch. The quadriceps tendon is partially peeled off the anterior patellar surface. It can be treated non-operatively with a closed reduction and immobilisation of the limb in extension. The second type of inferior patellar dislocation is the degenerate type. It is caused by a hyperflexion injury in the presence of marginal patellar osteophytes. In contrast to the adolescent type, the extensor mechanism remains firmly attached. Unlocking is performed by flexing the knee. Surgical exploration is unnecessary. Early mobilisation is recommended. Patella infera is considered to be present when de ISR is <0.8.4 Patella infera is a common finding after medial OWHTO. In this case postoperatively a decrease of the ISR from 0.89 to 0.83 was measured. However, at six years follow-up it had progressively decreased to an ISR of 0.74. This late effect of surgery is only hypothetically addressed in the literature. It is possibly caused by contracture of the patellar ligament due to arthrofibrosis or scarring in this region. Excessive new bone formation during healing of the osteotomy might cause contracture of the patellar tendon.4 We believe the infrapatellar fat pad of Hoffa is also of importance in the late onset patella infera. Injury to this fat pad by direct damage or secondary to hematoma formation from a proximal tuberosity osteotomy might lead to late onset patella infera. The measurements in this report are possibly erroneous due to the X-ray at the final follow-up not being a perfect lateral view, and by interobserver variability. Advice Our case can be classified as a degenerate type of inferior patellar dislocation. The combination of the patella infera and a suprapatellar osteophyte created the circumstances for the inferior patellar dislocation to occur. We think the patella infera is introduced both direct postoperative and late onset, caused by the OWHTO with proximal tuberosity osteotomy. Therefore, we would like to use this case report to advocate the use of the distal tuberosity osteotomy in OWHTO. This technique should be taken into special consideration when the patient, who is planned for a HTO, has a low ISR, is planned for a large correction of >10° and/or has a suprapatellar osteophyte.7 In case of patella alta and/or patellar instability an OWHTO with proximal tuberosity osteotomy is recommended. By decreasing the ISR the patellar height can either be normalised or the patella can be stabilised in these cases. Acknowledgements Dr. R.D.A. Gaasbeek, orthopaedic surgeon. Disclosure statement None of the authors have anything to disclose.
References 1. Brouwer RW, Huizinga MR, Duivenvoorden T, Raaij TM van, Verhagen AP, Bierma-Zeinstra SMA, et al. Osteotomy for treating knee osteoarthritis. Cochrane Database Syst Rev 2014;13;2014(12):CD004019. 2. Lobenhofer P, Agneskirchner JD. Improvements in surgical technique of valgus high tibial osteotomy. Knee Surg Sports Traumatol Arthrosc 2003;11(03):132–38. 3. Sabzevari S, Ebrahimpour A, Khalilipour Roudi M, Kachooei AR. High Tibial Osteotomy: A Systematic Review and Current Concept. Arch Bone Jt Surg 2016;4(3):204-12. 4. Scuderi GR, Windsor RE, Insall JN. Observations on Patellar Height after Proximal Tibial Osteotomy. J Bone Joint Surg Am 1989;71-A(2):245-48. 5. Otsuki S, Murakami T, Okamoto Y, Nakagawa K, Okuno N, Wakama H, et al. Risk of patella baja after opening-wedge high tibial osteotomy. J Orthop Surg (Hong Kong) 2018;26(3):1–6. 6. Lee OS, Ahn S, Lee YS. Changes of Sagittal and Axial Alignments of Patella after Open- and Closed-Wedge HighTibial Osteotomy: A Systematic Review and Meta-Analysis. J Knee Surg 2017;31(7):625-34. 7. Gaasbeek RDA, Sonneveld H, Heerwaarden RJ van, Jacobs WCH, Wymenga AB. Distal tuberosity osteotomy in open wedge high tibial osteotomy can prevent patella infera: a new technique. Knee 2004;11(6):457-61. 8. Bankes MJK, Eastwood DM. Inferior dislocation of the patella in the degenerate knee. Injury 2002;33(6):528–29.





